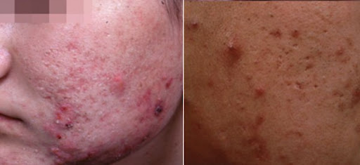
여드름은 단순한 피부 트러블이 아니라, 잘못된 관리나 방치 시 흉터로 이어질 수 있는 피부 질환입니다. 특히 성인 여드름, 염증성 여드름, 좁쌀 여드름 등 다양한 유형의 여드름이 있으며, 개인의 피부 상태에 맞는 맞춤형 치료가 필요합니다.
✅ 그렇다면, 여드름 치료를 위해 어떤 피부과를 선택해야 할까요?
✅ 여드름 치료뿐만 아니라 예방 및 재발 방지 관리도 가능한 피부과는 어디일까요?
✅ 비용, 치료 방법, 후기 등을 종합적으로 고려했을 때, 가장 효과적인 여드름 관리 피부과는 어떤 곳일까요?
이 글에서는 여드름 관리 피부과 선택 방법, 주요 치료법, 비용 정보, 피부 관리 팁까지 자세히 알려드리겠습니다.
여드름이 생기는 원인과 효과적인 치료법
여드름이 생기는 이유는 다양합니다. 단순한 피지 과다 분비뿐만 아니라, 호르몬 변화, 생활 습관, 스트레스, 잘못된 화장품 사용 등이 주요 원인이 될 수 있습니다.
✅ 여드름의 주요 원인
- 피지 과다 분비 및 모공 막힘
- 호르몬 변화 (사춘기, 생리 전후, 임신, 스트레스 등)
- 피부에 맞지 않는 화장품 사용
- 유전적 요인
- 불규칙한 생활 습관과 식습관
✅ 여드름을 효과적으로 치료하는 방법
- 전문의 상담을 통한 맞춤형 치료 (여드름 유형에 따라 레이저, 필링, 약물 치료 등 적용)
- 정기적인 피부과 방문을 통한 관리
- 집에서 올바른 스킨케어 루틴 실천
- 건강한 식습관 및 생활습관 개선
💡 여드름은 단순히 겉으로 보이는 문제만 해결하는 것이 아니라, 피부 속 원인을 정확하게 파악하고 치료하는 것이 가장 중요합니다.
H2: 여드름 관리 피부과 선택 시 고려해야 할 사항
여드름 관리를 위해 피부과를 방문할 때는 다음과 같은 요소들을 고려하는 것이 중요합니다.
1. 여드름 치료 경험이 풍부한 피부과 선택
✅ 여드름 치료는 단순한 스킨케어가 아니라, 피부과 전문의의 정확한 진단이 필수적입니다.
✅ 병원마다 전문 분야가 다를 수 있으므로, 여드름 치료 경험이 많은 곳을 선택하는 것이 중요합니다.
2. 다양한 치료 옵션을 제공하는지 확인
✅ 여드름 치료는 한 가지 방법만으로 완벽하게 해결되지 않습니다. 여드름 유형, 피부 상태, 개인 체질에 맞춰 다양한 치료법이 적용될 수 있어야 합니다.
✅ 대표적인 여드름 치료법:
- 여드름 압출 (전문적인 피지 제거)
- 레이저 치료 (프락셀, 피코레이저 등)
- 필링 치료 (화학적 필링, 크리스탈 필링 등)
- 약물 치료 (항생제, 이소트레티노인 등)
- 스킨부스터 주사 (리쥬란, 샤넬 주사 등)
3. 치료 후 관리 프로그램 제공 여부
✅ 여드름 치료 후에도 재발을 방지하는 관리가 매우 중요합니다.
✅ 피부 장벽 강화, 색소 침착 예방, 흉터 개선을 위한 맞춤형 사후 관리 프로그램이 있는 피부과를 선택하는 것이 좋습니다.
4. 치료 비용 비교 및 패키지 확인
✅ 여드름 치료는 1~2회 치료로 완벽하게 해결되지 않으며, 여러 번 치료가 필요할 수 있습니다.
✅ 개별 치료보다는 패키지 상품을 활용하면 경제적으로 치료를 받을 수 있습니다.
여드름 관리 피부과 치료 비용 비교
여드름 치료 비용은 치료 방법, 병원 위치, 의료 장비 등에 따라 다를 수 있습니다.
치료 방법평균 비용 (1회 기준)
여드름 압출 | 30,000원 ~ 100,000원 |
필링 (화학적 필링, 크리스탈 필링) | 50,000원 ~ 200,000원 |
프락셀 레이저 | 100,000원 ~ 400,000원 |
피코레이저 | 200,000원 ~ 500,000원 |
스킨 부스터 (리쥬란, 샤넬 주사) | 200,000원 ~ 500,000원 |
복합 치료 패키지 (3~5회) | 500,000원 ~ 1,500,000원 |
💡 비용을 절약하는 방법:
✔ 병원에서 진행하는 이벤트 및 패키지 할인 활용
✔ 한 번에 여러 번 치료를 받을 수 있는 장기적인 프로그램 선택
✔ 상담을 통해 자신의 피부 상태에 가장 적합한 치료를 선택하는 것이 중요
여드름 관리 피부과에서 받을 수 있는 주요 치료법
1. 여드름 압출 및 필링 치료
✅ 모공 속 피지와 각질을 제거하여 피부 재생을 촉진하는 방법
✅ 여드름 초기에 가장 효과적인 치료법
2. 프락셀 및 피코레이저 치료
✅ 피부 재생을 촉진하고 흉터 및 색소 침착을 개선하는 효과
✅ 깊은 여드름 흉터 치료에 적합
3. 약물 치료 (항생제, 이소트레티노인)
✅ 피지 분비를 조절하고 염증을 완화하는 치료법
✅ 지속적인 여드름 발생을 막는 데 효과적
4. 스킨 부스터 주사 (리쥬란, 샤넬 주사)
✅ 피부 회복 및 재생을 촉진하는 치료
✅ 여드름 흉터 및 전반적인 피부 개선에 효과적
여드름 관리 피부과 치료 후 주의사항
✅ 보습 관리: 피부 장벽을 강화하고 회복 속도를 높이는 것이 중요
✅ 자외선 차단: 치료 후 피부가 예민해지므로 자외선 차단제 필수 사용
✅ 자극적인 화장품 사용 금지: 알코올이 포함된 토너나 스크럽 제품 사용 피하기
✅ 건강한 식습관 유지: 기름진 음식, 당분이 많은 음식 섭취 줄이기
결론: 여드름 관리 피부과에서 꾸준한 치료와 관리가 중요
💡 핵심 정리:
✔ 여드름 치료는 피부과 전문의 상담을 통해 맞춤형으로 진행해야 함
✔ 여드름 치료 후 재발 방지를 위해 지속적인 관리가 필요
✔ 피부과 선택 시 치료 옵션, 비용, 후기 등을 고려하는 것이 중요
✔ 여드름 치료 후 올바른 스킨케어와 생활습관 개선이 필수
여드름 관리를 위해 피부과를 방문할 계획이라면, 자신의 피부 상태를 정확하게 진단받고, 장기적인 관리를 고려한 맞춤형 치료를 선택하는 것이 가장 효과적인 방법입니다.
'검토' 카테고리의 다른 글
피부과 여드름 흉터 치료: 효과적인 해결 방법과 치료 과정 (0) | 2025.02.10 |
---|---|
피부과 여드름 치료: 효과적인 관리 방법과 추천 치료법 (1) | 2025.02.10 |
광주 여드름 흉터 치료: 효과적인 방법과 피부과 추천 (0) | 2025.02.10 |
성인 여드름 피부과 치료, 효과적인 방법과 비용 알아보기 (1) | 2025.02.10 |
여드름 치료 비용, 얼마나 들까? 효과적인 치료법과 가격 비교 (0) | 2025.02.10 |